Ponuky v okolí

Character may be manifested in the great moments, but it is made.

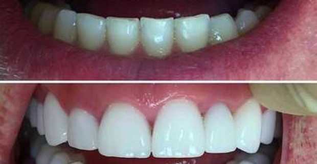
Dentálna hygiena a bielenie zubov pre žiarivý a zdravý úsmev.

Family Dent
0 / 5
29
Popis ponuky

Zdravé zuby by mali byť tiež hlavnou prioritou v našom živote preto najlepšou prevenciu je návšteva dentálneho hygienika, ktorý vám poradí ako si správne vyčistiť zuby. Nikdy si s kefkou nedokážeme zuby vyčistiť tak, ako keď navštívime dentálneho hygienika.

Dentálna hygiena patrí medzi základnú starostlivosť a je najlepšou prevenciu pred vznikom zubného kazu. Vo Family Dent vám poskytneme kvalitnú dentálnu hygienu ktorá zahŕňa:

  • odstraňovanie povlakov a zubného kameňa pomocou ultrazvuku a ručného dočistenia (kyrety)
  • motivácia a inštruktáž pacienta dentálnymi pomôckami
  • leštenie zubov pomocou kefky a pasty
  • fluoridácia zubov

Pre zdravý chrup je vhodné navštevovať dentálneho hygienika dvakrát za rok. Keď máte strojček alebo korunky dentálna hygiena sa odporúča minimálne štyrikrát za rok.

Váš životný štýl a proces starnutia môžu zapríčiniť stratu lesku z vášho úsmevu. Veľa každodenných vecí sa môže podieľať na sfarbení zubov ako napr. pitie kávy, čaju, koly a červeného vína alebo fajčenie. Bielenie môže Váš úsmev opäť rozžiariť.

Zuby a váš úsmev predstavujú jednu z prvých vecí, ktoré si človek všimne pri zoznamovaní. Prirodzený, žiarivo biely úsmev je nádherný – môže Vám pomôcť zvýšiť Vaše sebavedomie a nezabudnuteľne zapôsobiť na iných. Neprofesionálne a klinicky neodskúšané bieliace procedúry častokrát vedú k neuspokojivému výsledku.

Pri tejto metóde sa špeciálnym svetlom aktivuje gél nanesený na zuboch Karbamid peroxid. Ten sa pôsobením svetla rozpadne a kyslík preniká do skloviny a dentínu. Vybieli farebné substancie, zatiaľ čo štruktúra zubu ostáva nezmenená. Rovnomerne a bezpečne vybieli vaše zuby v priemere až o 4 farebných odtieňov. Samotnému bieleniu predchádza dôkladná izolácia pier a ďasien, tak aby gél pôsobil len na zuby. Počas bielenia môžete relaxovať, čítať si alebo si aj zdriemnuť. Celú procedúru uzatvára 5 minútová fluoridácia zubov. Procedúra trvá jednu hodinu a je bezbolestná.

Najväčší nepriatelia bieloskvúcich zubov:

sójová omáčka, špenát, cvikla, káva, cigarety, zelený a čierny čaj,červené víno, čučoriedkový kompót, marmelády, bylinné tinktúry z liečivých rastlín

Vybielenie by malo vydržať od jedného do piatich rokov, v závislosti od zvyklostí pacienta ako je fajčenie a pitie kávy či čaju. Pri bežnom čistení zubov trikrát denne by výsledok mal vydržať niekoľko rokov. Viaceré štúdie v posledných 5 rokoch dokázali, že bielenie je bezpečné a vysoko efektívne. Niektorí pacienti môžu pociťovať mierne podráždenie ďasien alebo citlivosť zubov, ktoré odoznejú krátko po ukončení bielenia.

Nikto nemôže s určitosťou predpovedať, o koľko svetlejšie vaše zuby v skutočnosti budú. Každý prípad je osobitý. Účinok závisí od typu škvŕn a spolupráce pacienta.

Nasledujúci 48 hodín sa pacient musí vyvarovať požívaniu niektorých pochutín, resp. jedál (káva, čaj, kola, víno). Výmena starých kompozitných výplní (bielych plomb) sa môže uskutočniť najskôr po 5 dňoch od ukončenia bielenia.
24,90 €
35 €

Poskytuje
Tagy
Recenzie k ponuke (0)

0,00/5Nehodnotené
Hodnotené 0x
24,90 €
35 €

Poskytuje
Tagy

Aj tieto ponuky by sa vám mohli páčiť

51
34
24
20